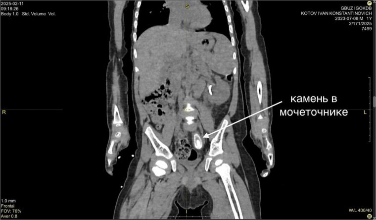
Камень в 3 см удалили из мочеточника маленького жителя Усть-Кута

Сложную операцию провел знаменитый на весь мир иркутский хирург, главный врач Иркутской областной детской клинической больницы Юрий Козлов.

post-22771 thumbnail
  • 12:05
  • 27.03.2025
  • ОбществоУсть-Кут
  • 0
  • 653

Первые признаки заболевания жительница Усть-Кута обнаружила у сына Вани еще в декабре прошлого года. На обследовании в Иркутске поставили диагноз — большой камень в нижней трети левого мочеточника размером около 3 на 1,5 см и вызванный им блок почки.

Размер камня удивил медиков — это нетипично для таких маленьких пациентов.

— Попытка внутрипросветного лечения была безуспешна — устье мочеточника не пропускало даже самую маленькую оптическую систему цистоскопа. После месяца непростого лечения с использованием нескольких антибиотиков была выполнена операция с применением нашего излюбленного подхода без разрезов — лапароскопии, — рассказывает Юрий Козлов.

Операция прошла успешно, и сегодня Ваня чувствует себя прекрасно.

Администрация УКМО

Данное сообщение (материал) создано и (или) распространено некоммерческими организациями и (или) средствами массовой информации, требующими полной отмены законодательства об иностранных агентах

Вы сможете добавить комментарий после авторизации

Присоединяйтесь! Мы в социальных сетях:

Вам также может быть интересно:

post-32854 thumbnail

#Топ новостьКриминалПроисшествияУсть-Кут

В Усть-Куте эвакуировали школу после звонка о минировании

После сообщения о минировании школы, на место прибыли сотрудники спецслужб, полиции, МЧС и медики Вчера днем директору Восьмой школы  позвонили неизвестные и сообщили, что учебное заведение заминировано. После этого из здания эвакуировали всех в нем находившихся, а специальные службы провели проверку на наличие внутри школы взрывчатых устройств. Пока нет данных кто сообщил о заложенной в школе бомбе, но судя по всему это фейковые данные. Тем не менее, такие звонки попадают под уголовную ответственность и практически во всех подобных случаях, правоохранители находят тех, кто звонил. Ариэль Эмет Специально для «УК24» фото : из открытых источников Канал в Телеграмм Наш Инстаграм Страничка в Одноклассник  
1456
0
29.11.2025 в 09:09
post-32816 thumbnail

#Топ новостьПроисшествияТранспортУсть-Кут

В смертельном ДТП около Хребтовой погибли два жителя Усть-Кута

Еще один пострадавший с тяжелыми травмами был экстренно госпитализирован Вчера около полуночи, три молодых человека из нашего города, следовавшие в Иркутск, напротив поселка Хребтов в 110 километрах от Усть-Кута, попали в смертельное ДТП. По предварительным данным, автомобиль Лексус с госномером 002, во время обгона врезался  в лобовую в грузовой автомобиль. Во время столкновения погибли два человека и один из пассажиров Иван Патрин, сильно пострадал. Предположительно, автомобиль принадлежал маме Виталия Монакова,  одного из погибших. Этот автомобиль остался ей после гибели ее мужа, Олега Монакова. Как не странно, Олег тоже погиб придавленный грузовиком, якобы при попытке переставить на другое место именно этот Лексус, незадолго до этого купленный им в салоне. Редакция "Усть-Кут24" выражает искренние соболезнования Марине Монаковой, в связи с гибелью сына.... Ариэль Эмет Специально для «УК24» фото : из открытых источников Канал в Телеграмм Наш Инстаграм Страничка в Одноклассник  
4659
0
28.11.2025 в 06:20
post-32781 thumbnail

#Топ новостькоррупцияКриминалУсть-Кут

Члена Братской ОПГ из Усть-Кута Максима Огнева осудили на 12 лет за убийство трех человек

Одного из членов Братской ОПГ, задержанного в конце 2023 года, осудили в особом порядке в Кемеровском областном суде Кемеровский областной суд приговорил к 12 годам колонии строгого режима Максима Огнева, члена банды "Братские", за тройное убийство. Его признали его виновным в бандитизме (ч. 2 ст. 209 УК РФ), убийстве (ст. 105 УК РФ), покушении на убийство (ст. 30, ст. 105 УК РФ), а также незаконном хранении оружия и взрывных устройств (ст. 222.1 и ст. 222 УК РФ). В суде установлено: в мае 2003 года в Усть-Кутском районе (Иркутская область) Огнев в составе банды "Братские" совершил с применением огнестрельного оружия убийство и покушение на убийство 6 членов конкурирующей группировки "Королевские". Причина, как указано, передел сфер криминального влияния. Огнев с соучастниками стрелял из автомата по двум авто – в них находились 6 человек. В результате трое погибли. Банда "Братские" существовала 30 лет с начала 90-х годов , до тех пор, пока ее ключевых участников не задержали, а арсенал и взрывные устройства не изъяли из тайников. Восьмой кассационный суд общей юрисдикции изменил территориальную подсудность для обеспечения объективности процесса. Уголовное дело в отношении Огнева рассматривалось Кемеровским областным судом. По инсайдерской информации, именно Максим Огнев стал ключевым свидетелем обвинения, согласившимся сотрудничать со следствием с самого начала. Обвинения для остальных членов ОПГ, базируются именно на его показаниях, полученных на предварительном следствии. Такой маленький срок обусловлен сделкой со следствием и дачей исчерпывающих показаний на остальных участников ОПГ. Кроме жителей Усть-Кута, которые внутри Братского ОПС назывались "Болотовские", по фамилии лидера сообщества, расследование ведется и в отношении жителей города Братска. Кроме этого, вместе с членами ОПГ под следствие попали и сотрудники Братского СОБРа, которые работали киллерами у Братской ОПГ. Они получали заказы на физическое устранение конкурентов "братских" и устраняли их используя служебное положение. Про один особо вопиющий случай мы у себя уже писали в отдельной статье. Вот ее фрагмент: "..сотрудников спецподразделеня подозревают в неоднократных и массовых заказных убийствах. Подробности некоторых эпизодов заставляют стыть кровь в жилах у обывателей, привыкших думать что именно полицейский СОБР, является защитником мирных граждан от криминальных наездов. В деле фигурирует материал об убийстве 6 человек в 2010 году,  исполненный собровцами по заказу Братской ОПГ. Вот его подробности: «…Якобы сотрудники спецподразделения, задержали и вывезли на лед  водохранилища 6 человек из конкурирующей с Братской ОПГ банды и по одному начали их убивать. После этого труп расчленяли и останки вбрасывали в прорубь. Последним был 20-летний парень, сын одного их лидеров, который пока дождался своей очереди, был уже полностью седым. Его голову в водоеме, позже обнаружили местные жители…» За убийства по заказу, оборотни получали по 2 миллиона рублей за один объект и именно одного из задержанных лидеров Брасткой ОПГ Пэрша, подозревают в причастности к коммуникации с собровцами в роли заказчика. Ожидаемо, что уже есть признательные показания участников и деятельное сотрудничество со следствием...." Напомним, что Братская ОПГ была сформирована в Иркутской области в середине 1990-х годов. Лидером группировки «Коммерсантъ» называл Владимира Тюрина (Тюрика). В 2017 году Генпрокуратура Украины назвала Тюрина «фактическим заказчиком» убийства экс-депутата от КПРФ Дениса Вороненкова, который был мужем оперной певицы Марии Максаковой. Вороненкова застрелили из автомата в Киеве. Тюрин свою вину в случившемся не признавал. В отношении остальных членов бандитской группировки расследование продолжается. Известно, что согласно установочным данным, все фигуранты устькутяне- предприниматели. Это Василий Железный, Владимир Ярославцев — один из руководителей «Терминал Ленаречтранс»,  Владислав Марчук — руководитель сразу двух компаний, «Лена Форест» и «Лена Форест-Снабжение» и Дмитрий Герусов. Есть вероятность того, что подозреваемым Андрею Болотову и Дмитрию Порошину, грозит пожизненное заключение. Ариэль Эмет по материалам региональных СМИ Специально для «УК24» фото и видео: из открытых источников Канал в Телеграмм Наш Инстаграм Страничка в Одноклассник      
3794
0
27.11.2025 в 09:06
post-32731 thumbnail

#Топ новостьАнонсВойна с УкраинойУсть-Кут

В Усть-Кут приехала военная полиция для отлова дезертиров

Два автомобиля УАЗ из Иркутска с сотрудниками военной полиции, приехали в наш город  Проблема дезертирства после отпуска из зоны боевых действий, оказывается очень актуальна для военнослужащих из  Усть-Кута. Как рассказал нашему корреспонденту инсайдер из силовых структур, в городе есть дезертиры находящиеся в бегах из воинских частей на передовой, уже по три года. Всего невозвращенцев из краткосрочных отпусков в Усть-Куте, около двух десятков. Как правило, дезертирами становятся солдаты, приехавшие домой отпуск или выписавшиеся из госпиталей после ранений. В большинстве случаев, они побыв немого дома и придя в себя, не желают погибать на войне, подноготную которой они хорошо знают. Мы не осуждаем всех, кто не хочет положить свои жизни в непонятной и откровенно не справедливой и жестокой войне, в угоду непонятным амбициям и интересам преступного руководства России. Так что ребята прячьтесь на время рейда военной полиции в Усть-Куте получше, и старайтесь не пользоваться сотовой связью. Именно по геолокации смартфонов в большинстве случаев и ловят дезертиров. Ариэль Эмет Специально для «УК24» фото : из открытых источников Канал в Телеграмм Наш Инстаграм Страничка в Одноклассник  
2562
0
26.11.2025 в 06:55